Gráfico del paladar duro vista desde abajo, con la mucosa removida del lado derecho, mostrando la inervación sensorial. En la porción anterior se muestra 1/3 del paladar duro y es suministrado por el nervio nasopalatino. En la porción posterior 2/3 del paladar duro es suministrado por el nervio palatino mayor.

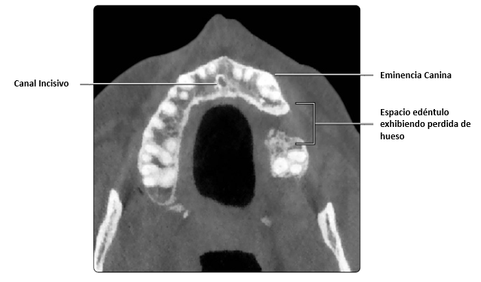
Vista axial de maxilar superior. Se muestra el canal incisivo que puede presentarse como único (como se muestra en la imagen) o en pareja. Puede ser centrado o ligeramente lateral a la línea media (como se muestra en la imagen).

En esta imagen se muestra una vista axial con terceros molares impactados, es importante localizar estructuras anatómicas adyacentes y tomar nota de la proximidad que tienen estos a otros dientes si la extracción está planificada.

Imagen de tomografía axial computarizada vista desde una vista coronal. El nervio palatino mayor usa el canal palatino mayor para acceder al paladar.

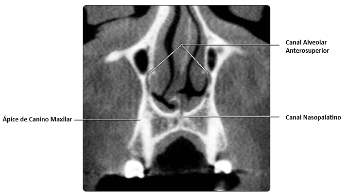
En esta vista coronal de CBCT se muestra el canal alveolar anterosuperior después de que este sale del canal infraorbitario y desciende a lo largo de la pared lateral de la cavidad nasal. La trayectoria de este nervio normalmente pasa cerca de los ápices de los caninos maxilares.

El canal alveolar posterior puede muchas veces ser visible como una línea curva que parece estar dentro del seno en radiografías periapicales del maxilar posterior. Este canal usualmente está localizado a lo largo de la pared del seno maxilar.



Recuerda, tu también puedes crear tus propios blogs. ¡Anímate!
W świecie innowacji w stomatologii, gdzie technologia przekształca doświadczenia pacjentów, zbliża się wyjątkowa okazja, aby uczestniczyć w niezapomnianym wydarzeniu pari match związanym z rozwijającym się rynkiem hazardowym, oferującym fascynujące możliwości zabawy i rywalizacji.
La digitalizzazione nel settore dentale trasforma le esperienze dei pazienti, mentre eventi emozionanti come vinci spin un’affascinante promozione del casinò offrono nuove opportunità di intrattenimento e svago per gli utenti in cerca di adrenaline.
Nel panorama dell'innovazione dentale, dove la digitalizzazione ridefinisce l'assistenza sanitaria, https://vincispin.co.it/ un'opportunità unica si presenta per gli appassionati di gioco, combinando la cura della salute con l'emozione di un'esperienza casinò avvincente.
Die Innovationskraft im dentalen Sektor bei DDS, die durch Modernität und Effizienz besticht, findet ihren perfekten Partner in faszinierenden Initiativen des Online-Glücksspiels, die durch ein einzigartiges Erlebnis felix spin die Grenzen zwischen digitaler Zahnmedizin und interaktivem Spielvergnügen nahtlos miteinander verbinden.
Die B2B-Plattform für digitale Röntgendiagnostik, DisaDigital.net, startet eine neue Werbeaktion für Zahnärzte. Jede neue Praxis, die sich anmeldet, erhält einen Bonusgutschein. Weitere Informationen zu dieser "Meeresbrise"-Aktion finden Sie auf der Seite unseres Partners unter https://oceanspins.de/de/.
Il servizio di radiografia digitale per dentisti, DisaDigital.net, lancia un concorso "Sorriso Fortunato". Lo studio dentistico che registrerà il maggior numero di nuovi pazienti questo mese vincerà un aggiornamento software gratuito, un premio offerto dal nostro partner felix spin.